(910) 892-1054 Free Consult
Dr. Astin Barnes headshot
Meet Our Orthodontist

A Message from Dr. Astin Barnes

"Welcome to Skyblue Orthodontics. Our philosophy is simple: we are personally invested in your success. We provide the honest advice and meticulous care that we would demand for ourselves. Our goal is to help you and your growing children reach a level of confidence where you never have to think twice about sharing your smile with the world."

Meet Dr. Barnes About Our Practice

The Moment It All Pays Off

All the patience and appointments lead to this single, joyful instant. Happy tears and celebratory high-fives are the norm here, whether they come from a parent watching their child beam with self-esteem or an adult finally seeing the results of investing in their own happiness. It represents the end of treatment, but the beginning of a much brighter chapter.

A Hometown Staple For Families

Most orthodontic offices feel rigid and quiet, but we’ve spent forty years creating something different. Our team brings a genuine energy to every visit, ensuring your child stays relaxed and you leave with peace of mind. We also respect your time. With options like same-day treatment, we help you avoid unnecessary appointments and get back to your busy schedule.

Why Choose Skyblue
Dr. Barnes and the team at Skyblue Orthodontics smiling

Why You'll Love It Here

1

Budget Friendly

No hidden fees and no hurdles. Just flexible, interest-free payment options that ensure money never stands between your family and a great smile.

See our flexible plans
2

Same-Day Treatment

Respecting your time is our priority. Avoid the back-and-forth and start treatment immediately after your consultation. It’s efficient, easy, and effective.

Start smiling today
3

Ortho For All Ages

We don't believe in "one size fits all." We deliver specialized care for growing smiles and discreet, modern options for adults - all in the location you already trust.

Bring the whole family

Picture The Possibilities

These photos show exactly what we do: turn complex dental issues into great smiles. We are proud of the work we do to help our neighbors look and feel their best. Explore the gallery to see what we can do for you or your family.

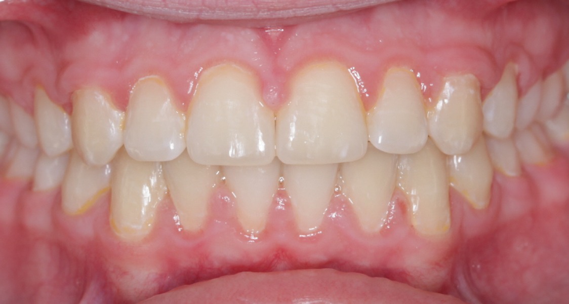
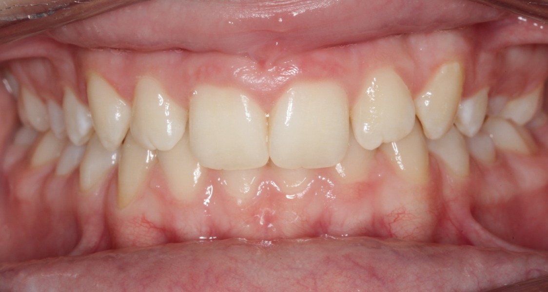
Bijou's Beautiful Bite

Bijou came to our office 2 years ago and mom's main concern was her bite. We were able to treat Bijou without extractions and with elastic wear only, she achieved an excellent result. Congratulations to Bijou!

Bijou
Bijou

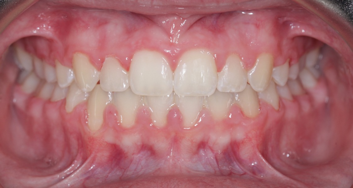
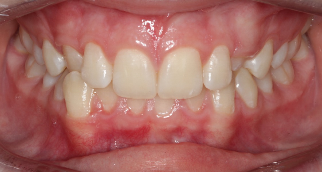
Gianna: Crowding and Crossbite Resolved

The main concern for treatment was lower crowding and crossbite of the right canine. This case was treated non-extraction with elastic wear and treatment was completed in less than 2 years, 20 months. Gianna was an excellent patient with an outstanding result!

Gianna
Gianna

Your Treatment Options

We believe your treatment should fit your lifestyle, not the other way around. That is why we offer different paths to the same confident result. From rugged options for active kids to seamless aligners for busy professionals, we ensure you never have to choose between a great smile and your daily routine.

metal braces on plastic model
01

Metal Braces

This is the classic choice for a reason. Modern metal braces are smaller, sleeker, and more comfortable than the ones you might remember. Parents love them for their durability on the playground, while kids and teens love swapping out the rubber band colors to match their sports teams, holidays, or personal style.

The Traditional Treatment
02

Clear Braces

If you or your teen need the robust strength of traditional braces but want to keep things low-profile, this is the perfect middle ground. We use tooth-colored ceramic brackets that blend in naturally with the smile. It allows you to tackle complex alignment issues confidently, without drawing extra attention to the treatment itself.

The Subtle Solution
clear ceramic braces on plastic model
invisalign aligners on plastic model
03

Clear Aligners

For adults and responsible teens who want maximum freedom, this is the gold standard. These clear trays are virtually invisible and completely removable. That means you can take them out for school photos, client meetings, or just to enjoy your favorite popcorn and snacks without any dietary restrictions.

The Clear Choice
OUR TREATMENTS

Not Sure Which is Right For Your Family?

Great results shouldn't come at the cost of your daily routine. Whether it's braces or clear aligners, the "best" choice is the one that actually works for your family. Schedule a free consultation, and we’ll help you navigate the pros and cons to find a treatment plan that fits your life as perfectly as it fits your smile.

Explore Your Options
doctor with patients

Patients Love Us

Over 1,000 5-star reviews do all the talking!

Dr. Barnes and a patient at Skyblue Orthodontics smiling

Braces That Won’t Break The Bank

Fitting orthodontic treatment into your monthly budget is a major consideration for most families. We are here to help ease that worry by offering in-house payment plans and interest-free financing to keep things manageable. Our team is happy to sit down with you to find a solution that feels comfortable and realistic for your specific situation.

Financial Options That Fit